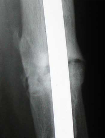
Jan. 4, 2005 X-ray update

Anterior view of x-rays. Week 6 post op, Nov. 16, on left. 3 months (current) on the right.

Lateral Views. Note bone growing in the muscle (top left). Let's all hope it goes away.