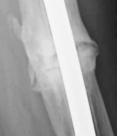
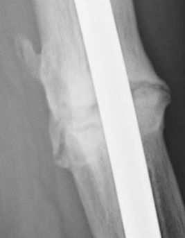
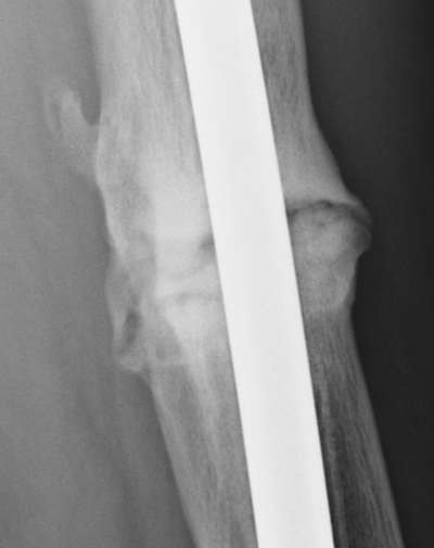
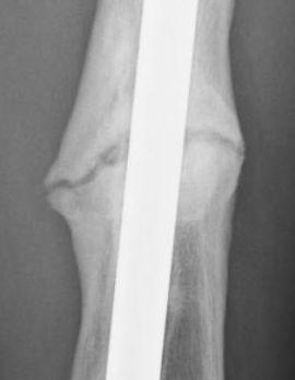
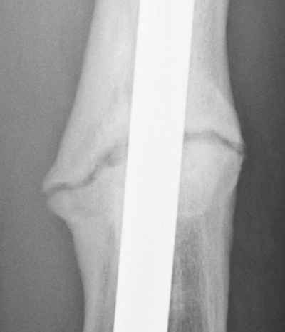
February 21, 2008 X-ray update

The adventure continues!

When I last wrote in April of 2007 I said I was going to try and move my jogging onto the track. I have made only a little progress. My best distance is three tenths of a mile, or 3 laps. That is up from a half a lap when I started though.

The positive news is that the leg does not seem to be the limiting factor in building my aerobic activity. Whereas I used to do twenty minutes of aerobics to warm up for exercises, I can now regularly do 60 minutes in a single session. I can even come back the next day and do the same without my leg feeling sore and tired all day afterwards. I like that progress more than the bone progress, small though it is, that my x-rays reveal.

This year the doctor let me add leg extensions finally. If you followed the saga all along you may recall that leg extensions exacerbated one of my non-unions. New equipment design, a more functional union, and patience mean I can add light duty leg extentions. This allows me to isolate my quadriceps muscles, something I have been unable to do to date. If is very good to see signs of life in my quads. I can feel and see them getting stronger and it shows up in an improved gait when I walk, greater endurance before I start limping, and in my improved aerobic abilities. There are even signs I am able to reduce my waistline through walking and aerobics. I was able to reduce it through diet, but I could not maintain it. My legs would not recover well I and did not have the will power to battle back the munchies that ensued.

I still have the need to move jogging onto the track. I think I will focus on that more when I can jog for 20 minutes straight on the treadmill. One doctor mentioned 20 minutes as an aerobic threshold. I took that as a goal or target. That was last year when my best jogging interval reached 8 minutes. So far this year I reached 18 minutes before a two week layoff reset my time to about 4 minutes. I have worked it back to 15 minutes. Consistency matters so very much when building my aerobic capacity. Even a layoff of several days can lead to setbacks.

More when it happens. (Scroll to the right to see the last four x-rays in sequence.)

Kurt.

Jan. 31, 2006 Aug. 17, 2006 Apr. 17, 2007 Feb. 21, 2008
Jan. 31, 2006 Aug. 17, 2006 Apr. 17, 2007 Feb. 21, 2008