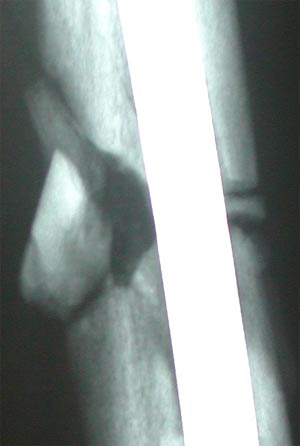
X-Rays Of My Broken Femur - Lateral Closeup
Week 11
Week 21